Signed in as:
filler@godaddy.com
Signed in as:
filler@godaddy.com
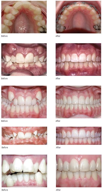
Invisaligners are a clear set of hard plastic aligners that are fitted for your mouth. They must be checked and replaced over the course of the first couple of months while they work at aligning your teeth into proper position.
Since there are no wires or brackets, you don’t have to worry about getting any painful nicks or cuts in your mouth. They are smooth and won’t irritate your mouth. Invisalign aligners can be removed for eating, brushing your teeth and flossing. That is something that cannot be done with braces. Also, they require minimal maintenance.
Invisalign is a preferred choice for adults and teens because they are practically invisible due to being clear.

The case type could be classified as very mild, mild, moderate and severe. The actual cost of original Invisalign depends upon your tooth and jaw condition, and how soon you plan to get started with these. The price of invisalign treatment varies from INR 85000 onwards to approximately INR 320000 for comprehensive treatment depending upon the severity of your case. Earlier you start, more you save.
The treatment typically takes 1-2 years time to give full results. In certain complex cases, it may take longer as well in which case we recommend going for comprehensive option.
These days customers see a lot many options of clear aligners to choose from and the obvious question that comes to mind is which clear aligner to choose from, and why specifically Invisalign which is the most expensive among all. Aren't other cheaper options as good as Invisalign? After all, they have got endorsement from big celebrities.
But getting influenced by enticements or endorsements is not always the right thing because what is claimed is not necessarily true. You need to check the brand history and understand why it continues to dominate the market, despite such a stiff marketing war that can change consumer perception.
Well, to keep it simple, we still recommend Invisalign over other clear aligners because of following reasons:

Demon braces, also known as self-ligating braces, use a unique type of bracket that has a built-in clip to hold the archwire in place. This clip eliminates the need for elastic or metal ties to hold the wire in place. As a result, demon braces require fewer adjustments and can move teeth more quickly than traditional wire braces. Additionally, because there are no ties, there is less friction between the bracket and wire, which can reduce discomfort. Damon braces can be broadly classified into two categories:

Damon braces have some advantages over traditional braces. Here are a few reasons why demon braces may be better than traditional braces:
While damon braces have the advantage of requiring fewer adjustments and producing less friction between the bracket and wire, they can be more expensive than metal braces. Additionally, they may not be suitable for all orthodontic cases, particularly those that require more complex tooth movements.
For getting your Invisalign in Chandigarh, book an appointment with us. With 15+ years of experience, Dr. Shikha is one of the best Orthodontist in Chandigarh and the first in tricity to be certified in Invisalign technology.

SCO 8, First Floor, Main Market, Sector 21, Chandigarh, 160022, India
Copyright © 2022 The Dental Masters - All Rights Reserved.
A unit of SSK Healthcare